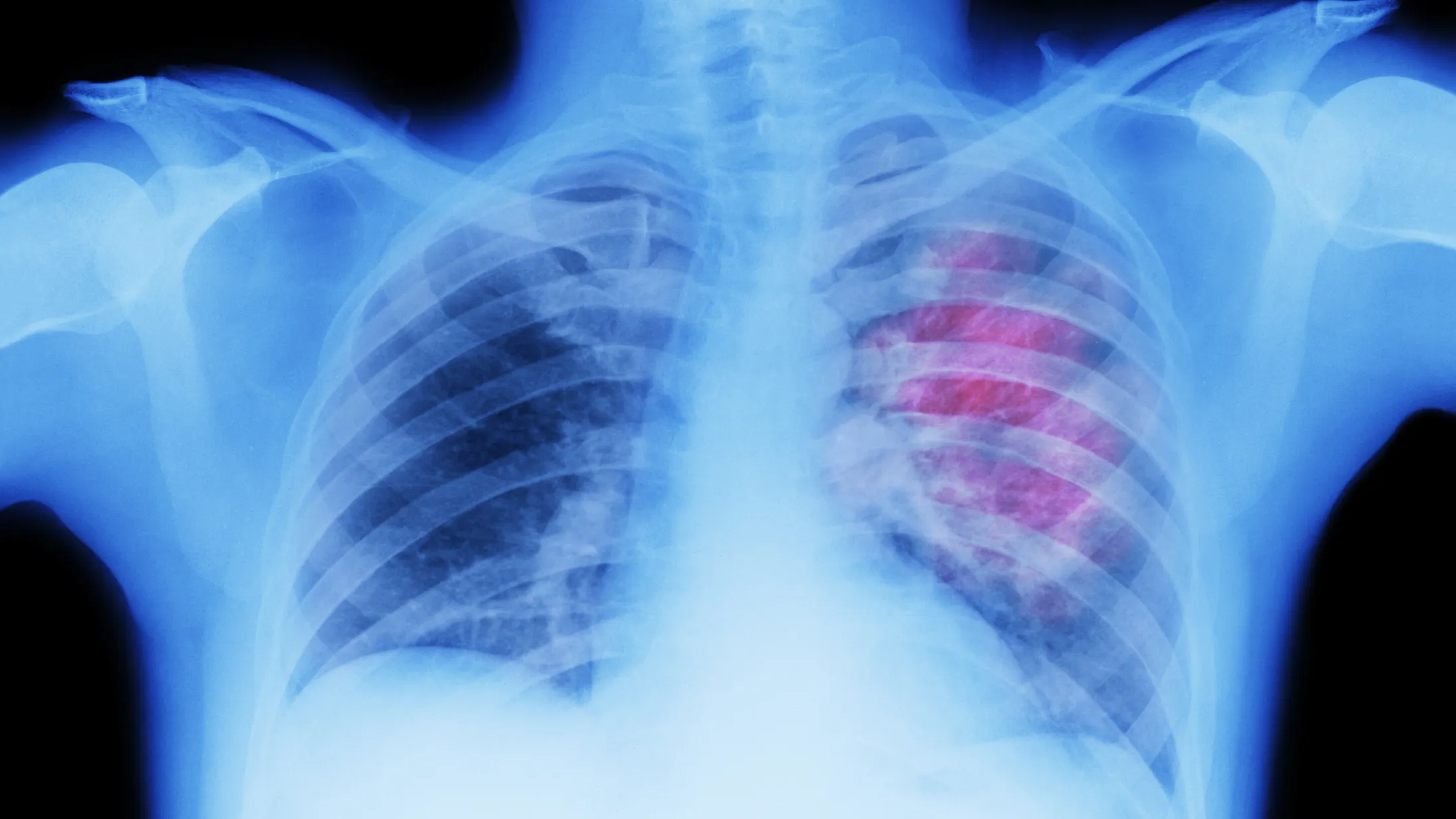
A new study indicates that an artificial intelligence tool can tremendously improve predictions of whether a nodule will develop cancer, thereby helping identify cancer much earlier in deadly diseases such as lung cancer.
Experts at the Royal Marsden NHS foundation trust, the Institute of Cancer Research, London, and Imperial College London created the new AI tool, which could identify nodules’ risk of cancer at significantly higher rates than current tests.
“In the future, we hope it will improve early detection and potentially make cancer treatment more successful by highlighting high-risk patients and fast-tracking them to earlier intervention,” Dr. Benjamin Hunter, a clinical oncology registrar at the Royal Marsden and a clinical research fellow at Imperial, stated, The Guardian reported.
“Through this work, we hope to push boundaries to speed up the detection of the disease using innovative technologies such as AI,” said the study’s chief investigator, Dr Richard Lee, adding, “People diagnosed with lung cancer at the earliest stage are much more likely to survive for five years, when compared with those whose cancer is caught late. This means it is a priority we find ways to speed up the detection of the disease, and this study – which is the first to develop a radiomics model specifically focused on large lung nodules – could one day support clinicians in identifying high-risk patients.”
To ascertain how effectively the new tool performed, its accuracy was measured using a standard called area under the curve (AUC). A score of 1 would indicate a perfect record of predicting cancers; a 0.5 score would indicate a random guess. The new tool scored an AUC of 0.87, as opposed to the currently-used Brock score, which had an AUC of 0.67.
In January, the University of Toronto reported that researchers using an AI-powered database designed in a mere 30 days a potential drug to treat HCC, the most common type of primary liver cancer.
The researchers created a “novel hit molecule” that could bind to a new target novel target for HCC without using an experimentally determined structure.
“While the world was fascinated with advances in generative AI in art and language, our generative AI algorithms managed to design potent inhibitors of a target with an AlphaFold-derived structure,” Insilico Medicine founder and CEO Alex Zhavoronkov, one of the lead researchers, stated.
“AlphaFold broke new scientific ground in predicting the structure of all proteins in the human body,” Feng Ren, chief scientific officer of Insilico Medicine. “At Insilico Medicine, we saw that as an incredible opportunity to take these structures and apply them to our end-to-end AI platform in order to generate novel therapeutics to tackle diseases with high unmet need. This paper is an important first step in that direction.”

.png)
.png)

